Casos clínicos Dental Rueda
Antes y Después Odontología Madrid
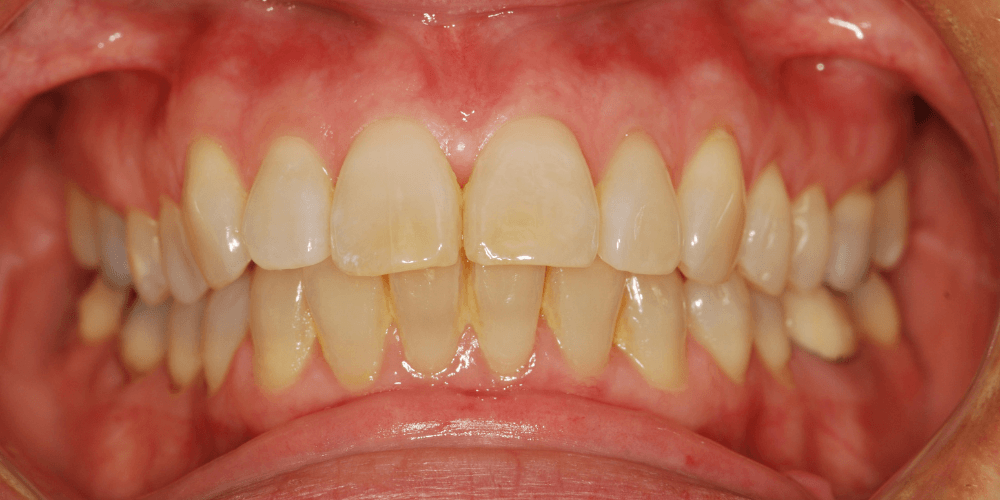
En Dental Rueda comprendemos la importancia de una sonrisa saludable y su impacto en tu bienestar general. El éxito de nuestros tratamientos dentales en Madrid reside en una valoración personalizada y una minuciosa planificación del tratamiento en base a los objetivos de cada paciente. No hay dos pacientes iguales, ni dos sonrisas iguales. Nuestro equipo de dentistas en Madrid está dedicado a brindarte una atención personalizada y de calidad.
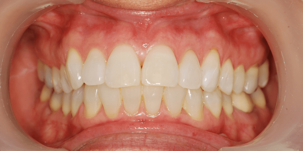
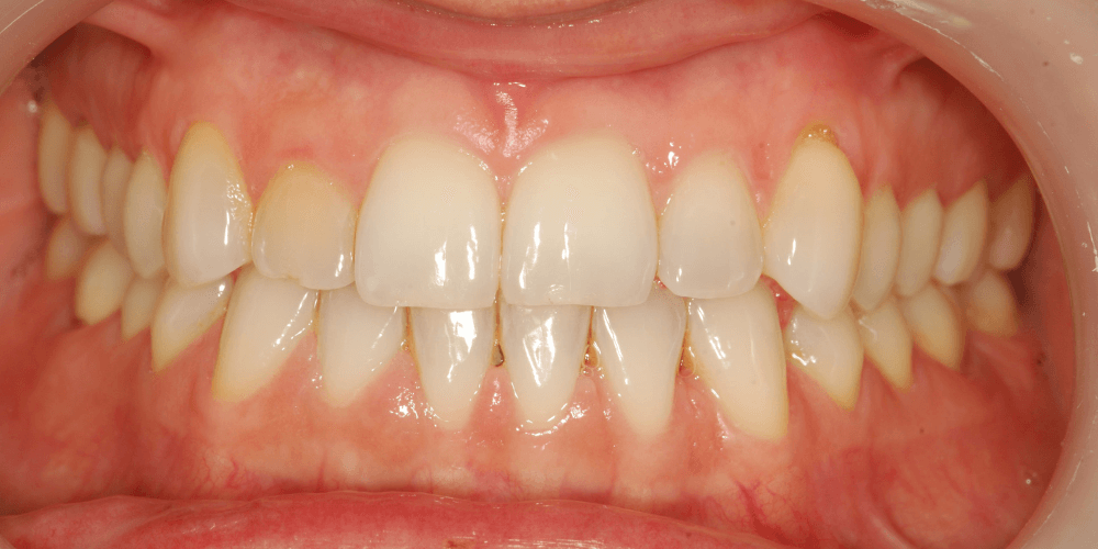
Blanqueamiento Dental
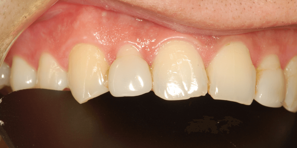
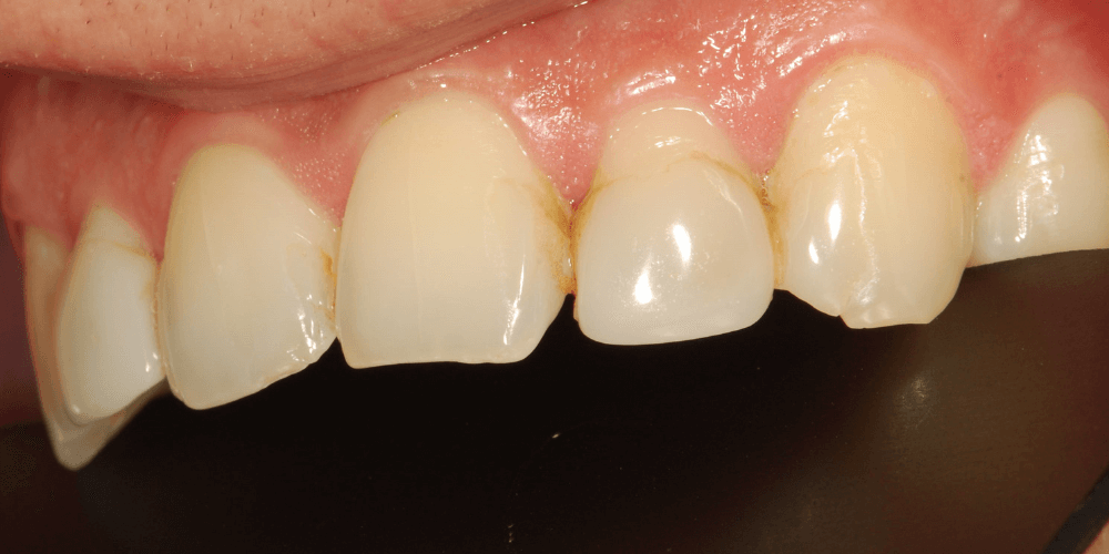
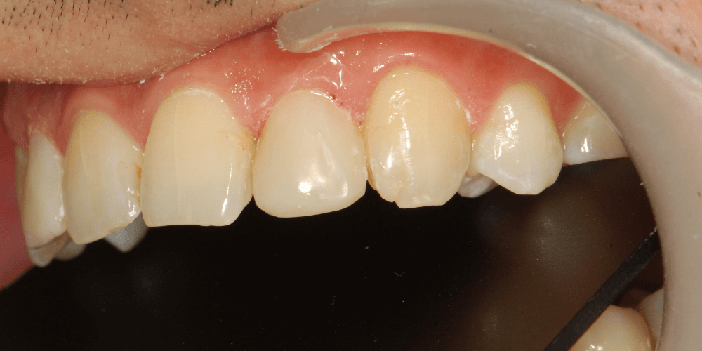
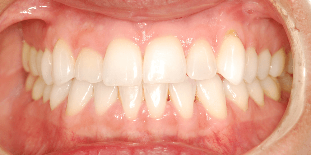
Carillas Dentales
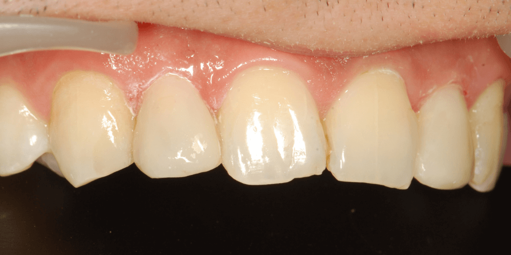
Carillas Dentales
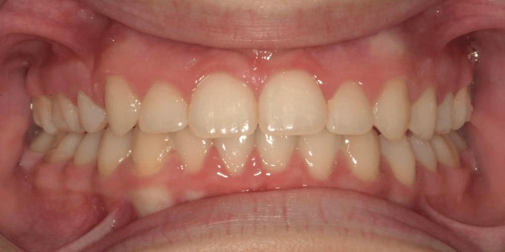
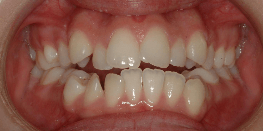
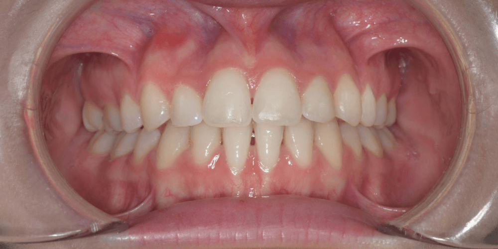
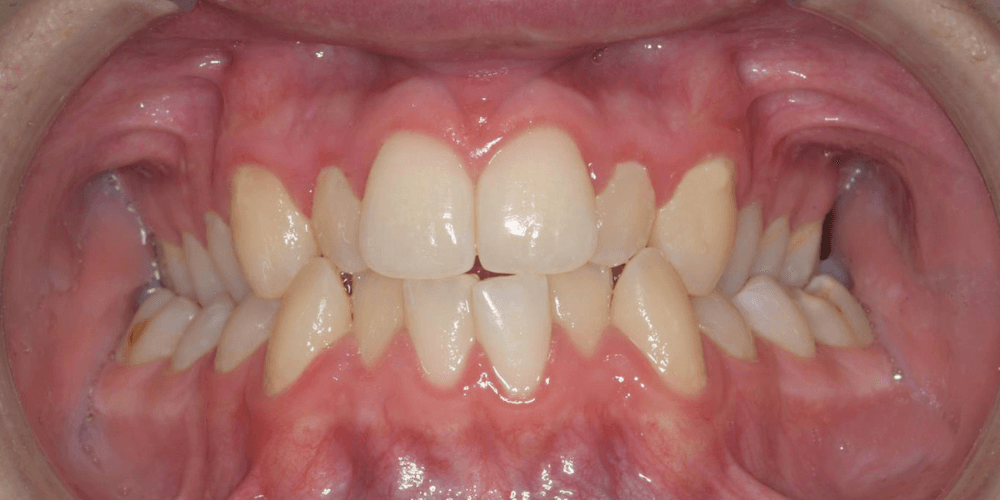
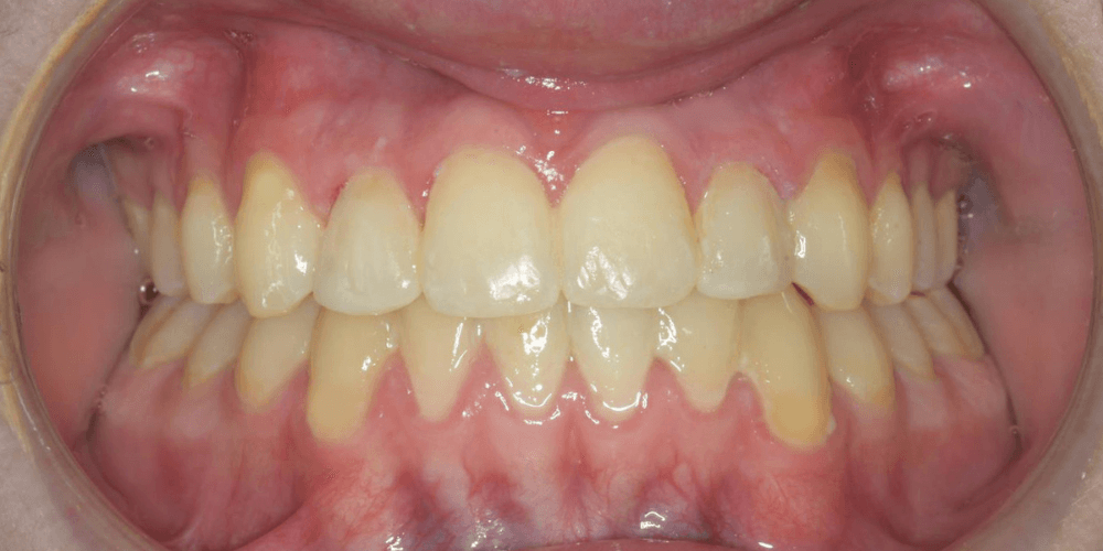
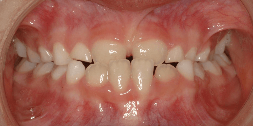
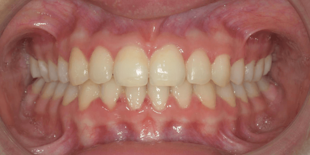
Ortodoncia
Blanqueamiento Dental
Ortodoncia
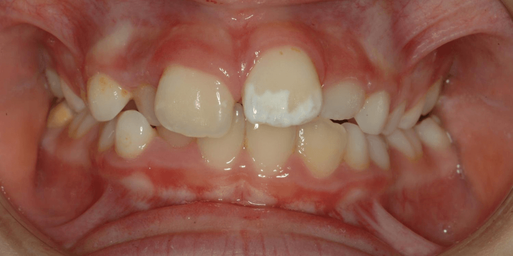
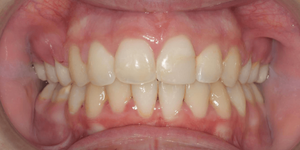
Ortodoncia
Ortodoncia
Ortodoncia


















